你是否發現後排牙齦腫脹、咀嚼時隱隱作痛,甚至感覺有塊肉被「卡住」?這很可能就是常見的「智慧齒牙肉包住」現象。這種情況在20歲至30歲之間特別普遍,根據香港衞生署2026年口腔健康調查顯示,約有78%的年輕人曾經歷不同程度的智慧齒問題。本文將深入解析智慧齒牙肉包住是否正常、背後成因、可能引發的症狀,並提供實用改善方法與就醫指引,助你有效應對。
智慧齒牙肉包住正常嗎?
簡單來說,「智慧齒牙肉包住」是指智齒(第三大臼齒)在萌出過程中,僅部分穿出牙齦,其餘部分仍被牙肉覆蓋,形成一個稱為「牙齦瓣」(operculum)的軟組織袋。這種情況在臨床上稱為「部分萌出」(partial eruption),並非完全異常,但也不代表毫無風險。
根據香港大學牙醫學院2026年的臨床數據,約有65%的人口會出現至少一顆智慧齒部分萌出。若沒有引起不適或感染,可暫時觀察;但一旦出現智慧齒牙肉痛、腫脹或反覆發炎,則需積極處理。
智慧齒牙肉包住原因有哪些?
1. 空間不足導致阻生
現代人顎骨較小,難以容納全部32顆牙齒。當智齒嘗試萌出時,前方牙齒已佔據位置,導致其只能斜向、橫向或垂直受阻。這種「阻生智齒」極易造成智慧齒頂住牙肉,無法完全穿出,進而被牙齦包裹。
2. 萌出角度異常
正常智齒應垂直向上生長,但實際上超過40%的智齒會以傾斜角度萌出(來源:香港牙醫學會《2026年智齒臨床指南》)。例如向第二臼齒傾斜時,不僅會智慧齒咬到牙肉,還可能磨損鄰牙,引發蛀牙或牙周病。
3. 遺傳與顎骨發育因素
研究指出,亞洲人種因顎骨較窄,智齒阻生機率高達70%以上(來源:The Journal of the Hong Kong Dental Association, 2026)。若家族中多人有拔智齒經驗,你出現智慧齒牙肉包住的機會亦相對提高。
| 原因類型 | 發生比例(2026年數據) | 典型表現 | 資料來源 |
|---|---|---|---|
| 空間不足 | 68% | 智齒水平或斜向阻生 | 香港大學牙醫學院 |
| 萌出角度異常 | 42% | 咬合時摩擦對側牙肉 | 香港牙醫學會 |
| 遺傳因素 | 70%(亞洲族群) | 多顆智齒同時阻生 | HKDA期刊 |
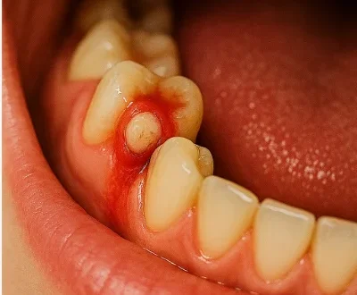
智慧齒牙肉包住會引起哪些症狀
當智齒被牙肉部分包覆,食物殘渣與細菌容易積聚在牙齦瓣下方,形成溫床,引發一系列不適:
- 智慧齒牙肉痛:持續鈍痛或刺痛,尤其在咀嚼硬物後加劇
- 智慧齒牙肉發炎(Pericoronitis):牙齦紅腫、化膿,甚至伴隨口臭
- 智慧齒牙肉裂開:因長期摩擦或發炎導致牙齦組織破損
- 張口困難、臉部腫脹、淋巴結腫大(嚴重感染時)
值得注意的是,有些患者初期僅感輕微不適,誤以為是「上火」或「牙齦敏感」,延誤治療反而增加併發症風險。
以下為常見症狀與對應嚴重程度評估:
| 症狀 | 輕度 | 中度 | 重度 |
|---|---|---|---|
| 疼痛感 | 偶爾悶痛 | 持續數日,影響進食 | 劇痛放射至耳部或頭部 |
| 腫脹 | 局部輕微腫 | 牙齦明顯腫起 | 臉頰腫脹、張口受限 |
| 發炎跡象 | 無 | 有膿液、口臭 | 發燒、全身不適 |
智慧齒牙肉包住怎麽辦?掌握改善方法
1. 日常清潔加強:沖洗牙齦瓣死角
使用單束牙刷或牙間刷輕柔清潔智齒周圍,配合溫鹽水或含氯己定(Chlorhexidine)漱口水沖洗,有助減少細菌滋生。建議每日至少2次,特別在飯後執行。
2. 暫時緩解不適:冷敷與止痛藥
若出現智慧齒牙肉痛或腫脹,可於臉頰外側冷敷(每次15分鐘,間隔30分鐘),並按說明服用非處方止痛藥如布洛芬(Ibuprofen)。但請注意,這僅屬短期紓緩,不可長期依賴。
3. 專業評估與影像檢查
即使症狀輕微,也建議盡早拍攝全景X光片(OPG),由牙醫判斷智齒位置、角度及對鄰牙的潛在威脅。根據2026年香港牙科診所統計,逾90%的患者在X光檢查後才意識到問題嚴重性。
智慧齒牙肉包住何時需要看醫生?
並非所有智慧齒牙肉包住都需立即拔除,但出現以下情況時,務必儘快求診:
- 反覆發生智慧齒牙肉發炎(一年內≥2次)
- 出現智慧齒牙肉裂開或持續出血
- 智齒造成鄰牙蛀蝕或牙周袋加深(探測深度>4mm)
- 影像檢查顯示囊腫或骨質破壞風險
根據香港牙醫學會2026年建議,若智齒已導致智慧齒咬到牙肉並影響日常生活,即使未發炎,亦應考慮預防性拔除,以免日後引發更複雜問題。
延展閲讀:(剝智慧齒價錢多少?香港8位剝智慧齒牙醫服務&收費介紹)
總結
總結而言,「智慧齒牙肉包住」雖常見,卻不可輕忽。透過正確清潔、及早評估與必要時醫療介入,能有效避免慢性發炎與結構損傷。別等到智慧齒頂住牙肉引發劇痛才行動——你的口腔健康,值得更主動的守護。
參考資訊
| 用途 | 網站名稱 | 網址 | 特色 |
| 政府健康資訊 | 香港衞生署 牙科健康專頁 | https://www.dh.gov.hk/tc_chi/health_info/oral_health.html | 提供免費口腔保健指南與就診流程 |
| 專業學會指引 | 香港牙醫學會 | https://www.hkda.org.hk | 發布2026年智齒處理共識文件 |
| 線上預約平台 | DentalBook HK | https://www.dentalbook.hk | 支援全港牙科診所即時預約 |
| 症狀自檢工具 | HKU DentCare App | App Store / Google Play 搜尋「HKU DentCare」 | 由港大牙醫學院開發,含智齒風險評估功能 |
| 社區經驗分享 | 連登討論區 – 健康板 | https://lihkg.com/category/23 | 真實用戶分享拔智齒經歷與診所評價 |
| 學術資料庫 | 維基百科 – 智齒條目(繁體中文) | https://zh.wikipedia.org/wiki/智齒 | 整合全球醫學文獻與臨床數據 |


