你照鏡見到牙面有黑點、牙縫位黑黑一條線,用力刷都唔走,第一個反應通常係:係咪蛀牙?其實牙齒黑黑的刷不掉唔一定等於蛀咗,但刷唔甩這個訊號,的確值得你用一個更精準嘅方法去分辨——究竟係表面色素、牙石、蛀牙早期、牙周問題,定係牙齒本身嘅內在變色。
呢篇會用你平日自己都做到嘅角度,逐步拆解牙齒變黑的原因,再教你點樣判斷牙齒黑點刷不掉係咪需要盡快睇牙醫,最後整理一套方法,等你知道牙齒黑黑的怎麼處理先至最有效、最唔易做錯。
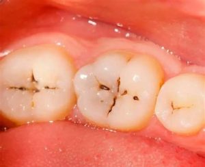
什麼原因造成牙齒黑黑的刷不掉?
臨床上我哋最常見嘅情況,其實係「同一個黑色外觀,背後原因完全唔同」。你見到嘅黑,可能係:黏喺牙面嘅色素、已經鈣化嘅牙石、牙縫位嘅積聚、牙面裂溝入面嘅染色,甚至係蛀牙造成嘅結構崩壞。
牙齒變黑的原因1:色素沉積
咖啡、濃茶、紅酒、可樂、咖喱、豉油類濃色食物,加埋煙草,都會令色素慢慢黏喺牙釉質表面。呢類屬於外源性染色(extrinsic stain),你用普通刷牙可能刷得走一部分,但如果已經「坐實」喺牙面微細紋理或者牙石表面,就會變成你講嘅牙齒黑點刷不掉。
特點通常係:唔一定痛、牙齒表面摸落唔一定凹,但顏色會隨飲食習慣加深;最常出現喺牙齒外側、近牙肉邊、或者後牙咬合面嘅裂溝位。
牙齒變黑的原因2:藥物影響
某啲藥物會令牙齒「內在」變色(intrinsic discoloration),尤其係牙齒發育期間接觸到特定抗生素(例如四環素類)有機會造成永久性染色;另外亦有啲漱口水(例如含氯己定 chlorhexidine)長期用,會增加牙面染色機會。內在變色通常唔係靠刷牙可以解決,所以你會覺得牙齒黑黑的刷不掉,而且顏色比較均勻、或者呈帶狀/片狀。
牙齒變黑的原因3:食物侵蝕
酸性飲品(汽水、能量飲品、果醋、檸檬水長期啜飲)會令牙釉質表面變粗糙,雖然未必即刻變黑,但牙面一粗糙就更易「黐色素」。有啲人以為用更硬牙刷、更大力刷就得,反而磨薄牙釉質,令牙本質顏色更透出,視覺上更暗沉。
牙齒變黑的原因4:口腔不衛生
如果你「刷牙有做,但牙縫無做」,黑色好容易就卡喺牙縫、牙肉邊、或者牙齒背面(尤其下排門牙背面接近舌底口水腺位置,最易生牙石)。一旦牙菌斑鈣化變牙石,就唔係刷牙可以清走,結果就係牙縫黑黑的刷不掉、或者牙肉邊一條黑線。
牙齒變黑的原因5:牙齒疾病
你最擔心嗰個——蛀牙——確實會令牙齒變黑。但唔少人忽略咗:牙周病、牙齦出血、牙根暴露、舊補牙邊緣滲漏,都可以令局部變黑。蛀牙早期未必痛;到你「一下痛一下唔痛」先嚟處理,有時已經入深層。若黑色位置伴隨敏感、咬合痛、食物塞住、或者牙肉腫痛,就唔好拖。
牙齒黑黑的刷不掉:如何分清污漬和蛀牙
以下呢張表係我用嚟幫病人做「第一輪分流」嘅方法:你唔需要專業儀器,只要照鏡、用牙線、用手感覺,就已經可以大概判斷你嘅牙齒應該行邊條路。
| 你見到/感覺到嘅情況 | 較常見原因 | 下一步建議 |
|---|---|---|
| 黑點/黑線喺牙面表層,唔痛,刷牙會淡少少但唔走 | 外源性色素沉積(咖啡/茶/煙草/濃色食物) | 先改善清潔+減少染色來源;如仍明顯,安排洗牙+拋光/噴砂 |
| 牙肉邊一條黑黑硬硬,指甲輕刮感覺粗糙 | 牙石(牙菌斑鈣化),刷唔甩 | 需要專業洗牙(超聲波潔治),同時評估牙周狀況 |
| 黑點喺裂溝/牙縫,牙線會「卡」或有臭味,偶爾酸痛/咬痛 | 蛀牙早期或鄰面蛀牙(牙縫蛀) | 盡快照X光+檢查;可能需要補牙或更深層治療 |
表格來源說明:蛀牙與口腔清潔、糖分攝取相關的臨床判斷依據參考 NHS「Tooth decay」;外源性染色與生活習慣/飲食關聯參考 ADA「Whitening」;內在變色與治療選項參考 Cleveland Clinic「Tooth Discoloration」。(見文末附錄)

牙齒黑點刷不掉要看牙醫嗎?
我會直接講重點:如果你只係「覺得唔靚」,多數唔急;但如果你同時出現以下任何一項,就唔好再靠估——因為黑點有機會唔止係染色,而係蛀牙或牙周問題。
| 自檢問題 | 如果你答「是」 | 建議行動 |
|---|---|---|
| 刷牙或食凍嘢會酸軟/刺痛? | 可能有蛀牙、牙頸敏感、牙釉質受損 | 一星期內約檢查;必要時照X光 |
| 牙線一拉有血/有腥味/牙肉腫? | 牙齦炎或牙周病風險上升,牙石/菌斑積聚常見 | 安排洗牙+牙周評估;之後定期覆診 |
| 黑點位置摸落凹、或者食物成日塞同一個位? | 蛀牙或舊補牙邊緣滲漏可能性高 | 盡快檢查;通常需要補牙 |
| 你覺得牙縫越嚟越黑,而且牙肉邊「退縮」? | 牙周問題令牙根暴露,視覺變暗;牙縫易積色素 | 檢查牙周袋深度;需要牙周治療或深層洗牙 |
表格來源說明:蛀牙與求醫時機參考 NHS「Tooth decay」;牙齦/牙周保健與定期檢查建議參考香港牙醫學會「The Prevention of Tooth Decay」及政府口腔健康教育網站 Tooth Club(見文末附錄)。
另外,很多人以為洗牙=美白。其實洗牙主要係去除牙石同菌斑,視覺上可能「乾淨咗、亮咗少少」,但如果你嘅黑係內在變色或深層色素,單靠洗牙未必白得返。
牙齒黑黑的怎麼處理?6個居家改善方法
居家改善的重點,不在於「更用力刷」,而在於「更精準地清潔」。你需要針對牙肉邊緣、牙縫、後牙內側等高風險區域提升清潔品質,同時降低色素附著與酸蝕風險。以下建議按優先次序排列。
1) 調整刷牙方式
不少人刷牙時主要刷到牙冠外側,忽略牙肉邊緣及後牙內側。建議以刷毛45度貼近牙肉邊緣,採用小幅度震動方式清潔,而非橫向大力摩擦。後牙咬合面裂溝可多停留數秒,以減少裂溝染色與蛀牙風險。
2) 每日使用牙線
牙刷難以深入牙縫,因此單靠刷牙很難改善黑牙齒。使用牙線時,應讓牙線貼住牙面呈C字形,上下刮擦後再換另一側牙面。若牙縫較大或有牙周問題,牙縫刷可能更合適,但應由牙醫或牙科護理人員建議適合尺寸。
3) 水牙線可作輔助
水牙線對沖走食物殘渣、輔助清潔牙橋或矯正器周邊有一定幫助,但其清潔原理以沖洗為主,並不能完全取代牙線的「貼牙面刮擦」效果。若你主要困擾是牙齒黑點刷不掉,牙線仍是更關鍵的步驟。
4) 降低染色因素
對於色素沉積人士,建議降低「長時間啜飲」的習慣,飲用咖啡或濃茶後以清水漱口,減少色素停留。若同時攝取酸性飲品,宜避免立即刷牙,建議先以清水漱口並稍作等待,以降低磨耗風險。
5) 使用含氟牙膏
蛀牙與牙釉質脫礦會提高牙面附著與染色機會,因此以含氟牙膏建立日常防蛀基礎十分重要。政府口腔健康教育網站指出,含氟牙膏是預防蛀牙的重要措施;同時有資料指出每日使用含氟牙膏刷牙可降低蛀牙發生率約20%。當你不確定黑點是否為早期蛀牙時,含氟護理是較穩妥的選擇。
6) 避免自行刮除黑點或牙石
不少人見到牙齒黑點刷不掉會嘗試用尖物刮除。此舉容易刮傷牙釉質及牙肉,造成敏感、牙肉退縮或微裂紋,反而令日後更易附著色素,亦增加感染風險。若你懷疑為牙石或蛀牙,應以專業檢查及清潔處理。
牙齒黑黑的怎麼處理?6個牙醫治療方法
當居家清潔已做到位但黑點仍然存在,或你懷疑涉及蛀牙、牙石、牙周問題,牙科治療通常更能針對根源處理。以下按常見治療類型整理:
1) 洗牙(潔治):針對牙石與牙肉邊緣沉積
洗牙主要以超聲波潔治清除牙石,再配合拋光減少牙面粗糙度。對於牙肉邊緣黑線、下排門牙背面沉積,以及部分牙石或附著物通常最有效。若牙齦發炎較明顯,初次潔治可能較不舒適,可與牙醫商討分段處理。
2) 噴砂/拋光加強:針對外源性色素沉積
對於咖啡、茶、煙草等引起的外源性染色,噴砂(air polishing)及加強拋光較能有效去除牙面色素。此類處理屬清潔與外觀改善並重,對於「黑點在表層、沒有凹陷或痛楚」的情況較合適。
3) 牙科檢查與X光:釐清牙縫蛀或裂溝問題
鄰面蛀牙常在牙縫內發展,外觀可能只有小黑點,但實際已在牙齒接觸面下方擴展。若你有「固定位置塞食物」「偶發敏感或咬合痛」「黑點摸落略凹」等情況,建議拍攝X光以確認深度,再決定是否補牙。
4) 補牙:封閉蛀牙並阻止進一步破壞
當黑點屬蛀牙,治療核心是清除腐質並以樹脂等材料修復牙體。補牙後除了外觀改善,更重要是阻止蛀牙繼續擴大,減少日後需要根管治療的風險。
5) 牙周治療
若你同時出現牙肉出血、口氣、牙縫變大、牙根暴露,可能已涉及牙周問題。此時治療方向不止於洗牙,按情況需要深層潔治(刮治與根面平整)甚至更進一步牙周治療,以控制炎症與穩定牙周組織。
6) 美白或貼片:針對內在變色或整體暗沉
內在變色(例如牙髓壞死後變暗、發育期染色等)通常不會因洗牙而改善。治療可能包括家用牙托美白、診所漂白、樹脂修復或瓷貼片等。不過,若同時存在蛀牙或牙周問題,應先完成治療與穩定口腔健康,再考慮美觀性療程。
結語
面對牙齒黑黑的刷不掉,最重要不是憑外觀作結論,而是釐清原因後再對應處理。若問題屬色素沉積或牙石,透過專業潔治與改善清潔習慣,通常可明顯改善;若涉及蛀牙或牙周問題,愈早檢查與治療,愈能避免日後更複雜、費時與成本更高的處理。若你仍不確定自己的黑點屬哪一類,建議以一次牙科檢查(必要時配合X光)作準確判斷,這往往比反覆更換牙膏或自行嘗試更有效率。
牙齒黑黑的刷不掉常見相關問題
1. 牙齒黑黑的刷不掉一定是蛀牙嗎?
不一定。外源性色素、牙石或裂溝染色都可能令你覺得牙齒黑黑的刷不掉。然而,若黑點伴隨敏感、凹陷、食物嵌塞或疼痛,蛀牙可能性會提高,建議安排檢查以確定。
2. 牙齒黑點刷不掉可以自己用工具刮掉嗎?
不建議。自行刮除容易刮傷牙釉質與牙肉,增加敏感及牙肉退縮風險,亦可能令日後更易著色。較安全做法是交由牙醫判斷黑點性質,再以合適器械處理。
3. 牙縫黑黑的刷不掉需要洗牙還是治療牙周病?
視乎是否同時出現牙肉出血、腫脹、口氣及牙縫變大。若主要是附著物與牙石,洗牙通常已可改善;若已有牙周袋加深或牙周炎症,可能需要深層潔治或牙周治療。你可先以牙科檢查作分辨。
4. 洗牙可以讓牙齒變白嗎?效果能維持多久?
洗牙主要去除牙石與表面沉積,視覺上可能較乾淨、較明亮,但不等同牙齒美白。維持時間受飲食、吸煙、口腔清潔品質及覆診頻率影響。若屬內在變色,洗牙效果有限。
5. 為什麼每天刷牙,牙齒還是會變黑?
常見原因包括:牙縫清潔不足、牙肉邊緣清潔不到位、長期攝取深色飲食或吸煙,以及牙面粗糙度增加令色素更易附著。另一個常見情況是牙石已形成,牙石不是刷牙能去除,需專業潔治。
附錄
- Department of Health, The Government of the Hong Kong Special Administrative Region. “DH releases latest ‘Report of Oral Health Survey’.” Government of the Hong Kong Special Administrative Region, https://www.info.gov.hk/gia/general/202412/06/P2024120600365p.htm.
- Oral Health Education Unit, Department of Health, The Government of the Hong Kong Special Administrative Region. “Report of Oral Health Survey 2021 Highlights (EN) (PDF).” Tooth Club, https://www.toothclub.gov.hk/en/en_pdf/Oral_Health_Survey_2021/Oral_Health_Survey_2021_Highlights_EN.pdf.
- NHS. “Tooth Decay.” National Health Service, https://www.nhs.uk/conditions/tooth-decay/.
- American Dental Association. “Whitening.” American Dental Association, https://www.ada.org/resources/ada-library/oral-health-topics/whitening.
- Cleveland Clinic. “Tooth Discoloration: Causes & Treatment.” Cleveland Clinic, https://my.clevelandclinic.org/health/symptoms/10958-tooth-discoloration.
- Hong Kong Dental Association. “The Prevention of Tooth Decay.” Hong Kong Dental Association, https://www.hkda.org/index.php?lang=en&page=preventtoothdecay§ion=dentalcare.
- Oral Health Education Unit, Department of Health, The Government of the Hong Kong Special Administrative Region. “Prevention of tooth decay using fluoride.” Tooth Club, https://www.toothclub.gov.hk/en/en_adu_01_02_06.html.
延伸閱讀:拔智齒的洞黑黑的、白白的是怎麽回事?掌握智齒洞清潔指南
藍光美白牙齒邊間好?10間香港藍光美白牙齒推薦,價錢&儀器比較



